Estetinis dantų protezavimas
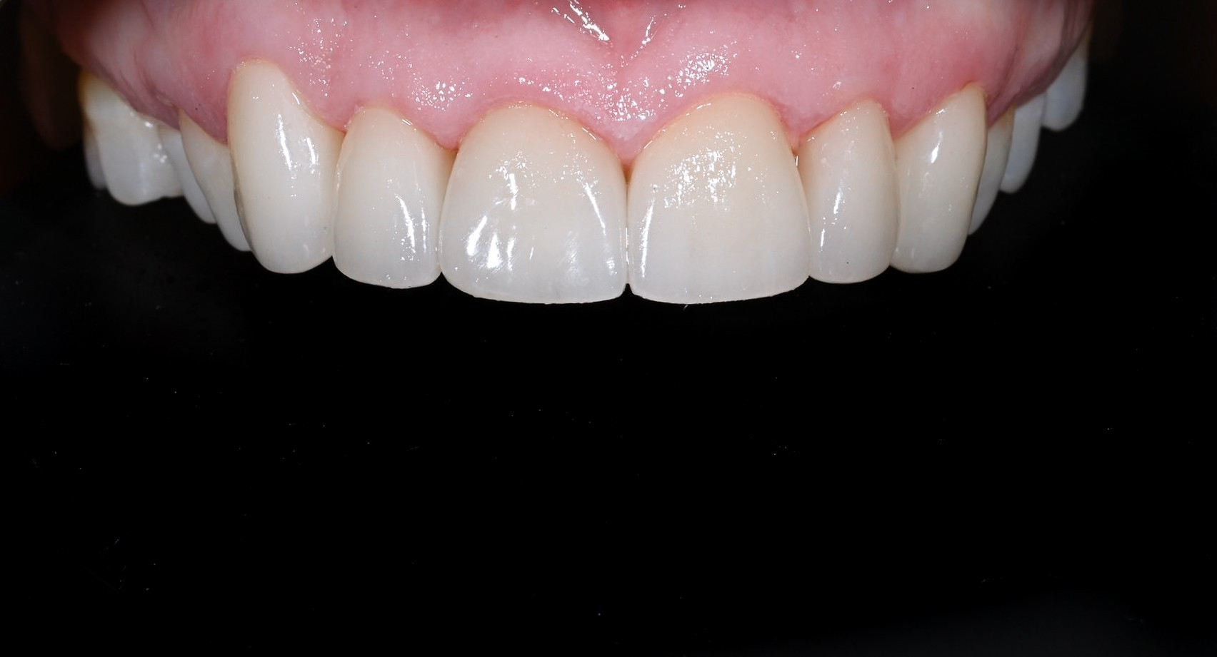
Mūsų pacientė pasirinko estetiniu priekinių dantų protezavimu koreguoti esamą šypseną po to, kai ilgą laiką jautėsi nepatenkinta. Esama situacija neatitiko jos lūkesčių dėl dantų išvaizdos.
Pasitelkėme pažangias protezavimo technologijas, kad sukurtume natūraliai atrodančią ir preciziškai pritaikytą šypseną. Rezultatas – ne tik estetiškai patrauklūs dantys, bet ir atgautas pasitikėjimas savimi.
Pacientei buvo atliktas 13 – 23 dantų estetinis protezavimas cirkonio keramikos vainikėliais.
Kol gaminamos nuolatinės restauracijos, pacientui pritaikomi laikini vainikėliai, prie kurių spalvos ir formos galima priprasti.
Mūsų tikslas – išsaugoti kuo daugiau nepažeistų dantų audinių ir atkurti prarastą dantų harmoniją ir estetiką.
Džiaugiamės, kai rezultatas pranoksta pacientų lūkesčius, o tai tik dar labiau motyvuoja tobulėti ir išpildyti visas svajones!
Gyd.Odontologė Ieva Ketvirtienė
