

Priekinių dantų plombavimas ir dantentų gydymas
Pacientas ilgą laiką nesilankė pas odontologus, nes turėjo didelę baimę dantų gydymui. Kelionė mūsų klinikoje prasidėjo nuo švelniai atliekamos profesionalios burnos higienos pas burnos higienistę Domantę Beinorytę.
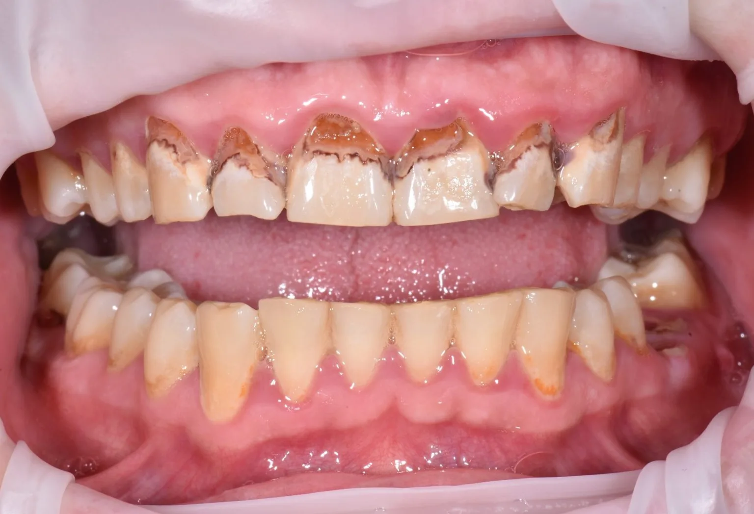
Dantenoms sugijus, buvo nukreiptas pas gydytoją odontologą Mantą Pitrėną. Gydytojas su pacientu nusprendė sugydyti priekinius 6 dantis, kurie buvo gana stipriai pažeisti ėduonies.
Pacientas labai džiaugiasi, kad pavyko įveikti baimę gydymui ir dabar be skausmo ir diskomforto gali drąsiai šypsotis.


