

Protezavimas ant implantų
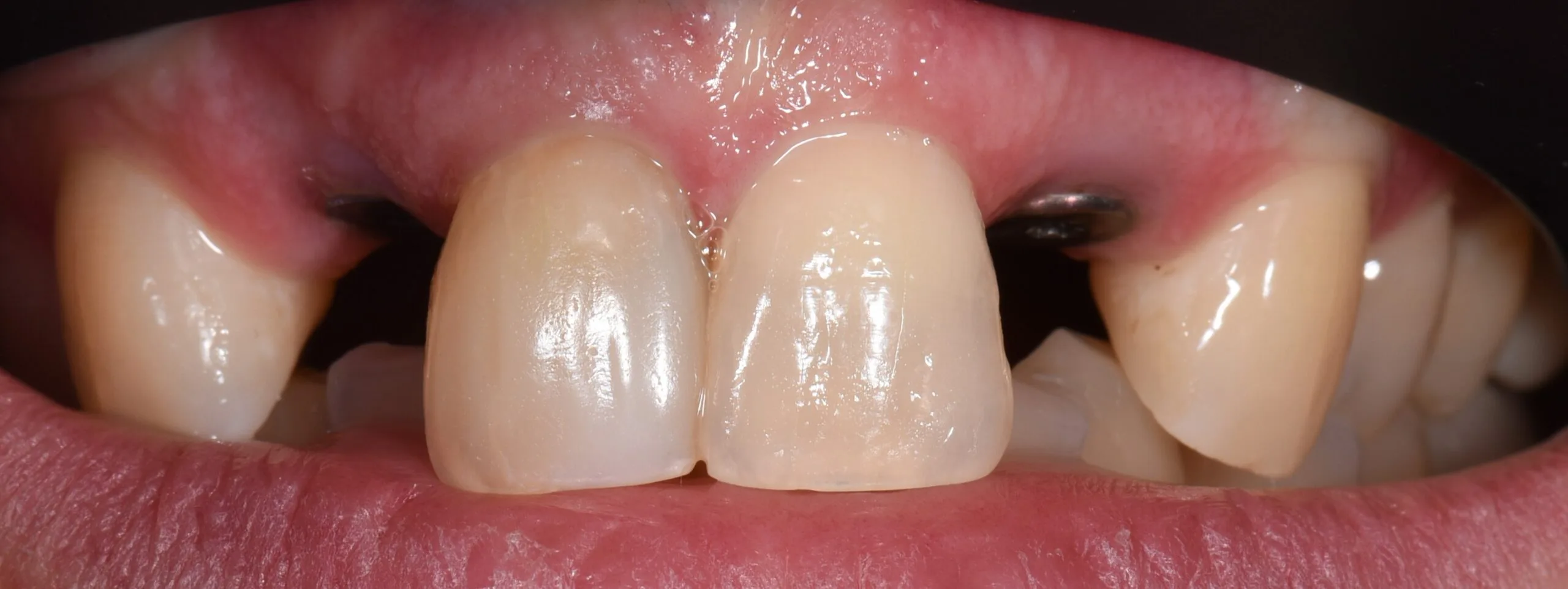
Pacientė kreipėsi dėl skilusių 12 ir 22 dantų šaknų, todėl jautė skausmą ir reikėjo skilusius dantis pašalinti. Pašalinus, buvo įsriegti implantai, jiems prigijus, suformuotos gijimo galvutės ir pritaikyti laikini vainikėliai ant implantų, kad pacientė priprastų prie naujų dantų formos ir pritaikytos spalvos. Net laikinų restauracijų sunku atskirti nuo natūralių dantų ir galime pilnavertiškai džiaugtis savo dantų būkle.






