Protezavimas laminatėmis
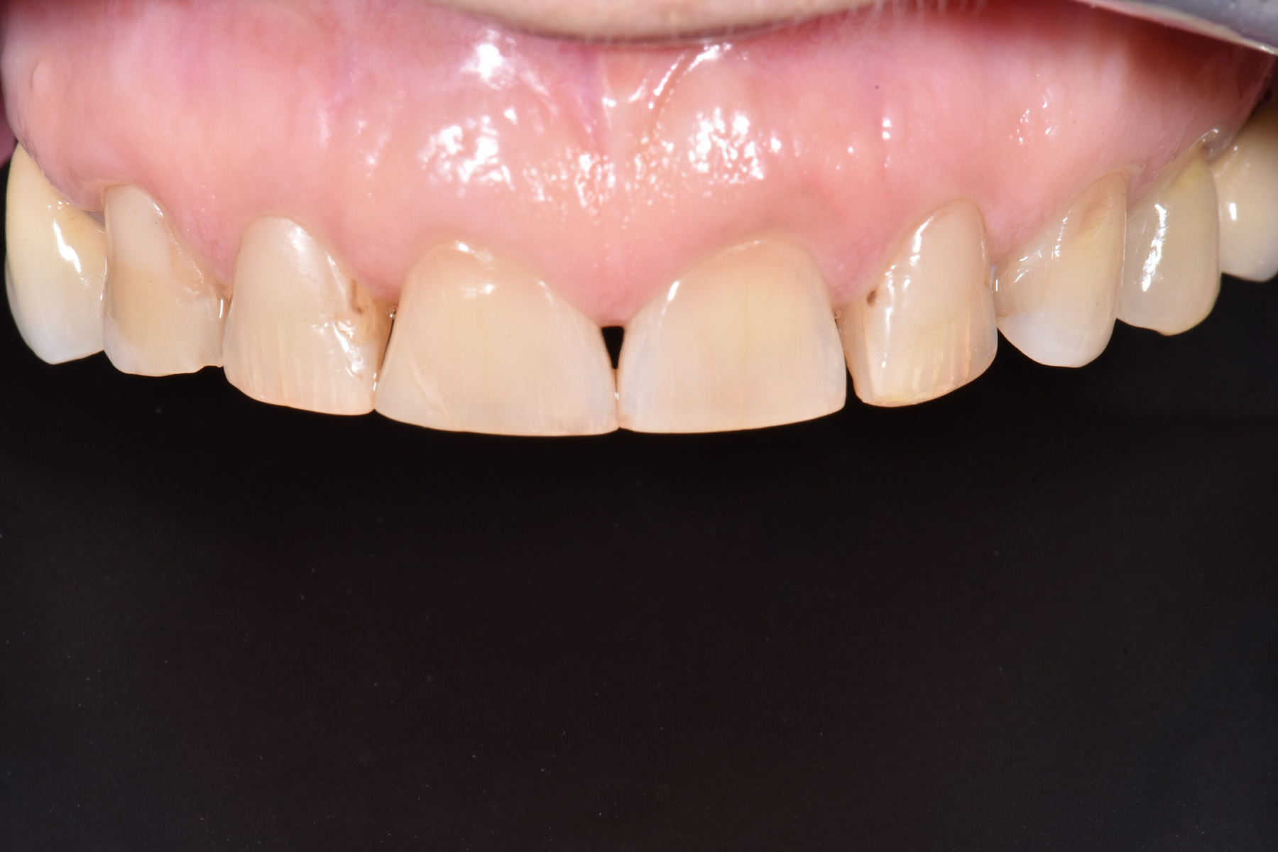
Pacientė kreipėsi dėl nudilusių dantų atstatymo ir netenkinančios estetinės dantų būklės.
Norint sustiprinti esamus dantis ir atstatyti natūralų dantų ilgį – buvo nuspręsta protezuoti keraminėmis laminatėmis.
Pacientė liko labai patenkinta ilgalaikiu rezultatu ir atgautu pasitikėjimu savo šypsena.
Protezavimą atliko:
Gyd.Odontologė Milda Pitrėnė
