Vienmomentė danties implantacija
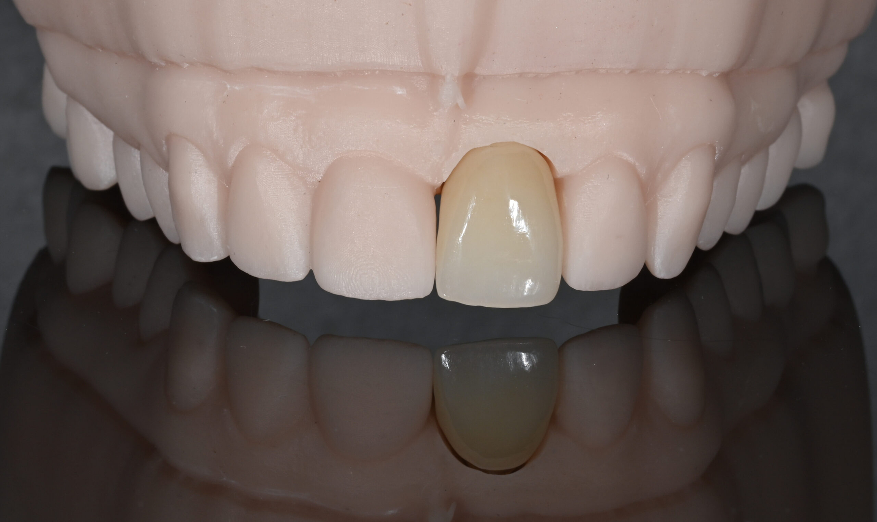
Pacientė kreipėsi į kliniką, kai po stipraus sukandimo išgirdo “trakštelėjimą” burnoje. Po atliktų rentgeno tyrimų, paaiškėjo, kad lūžo danties šaknis, kuri prieš daug metų buvo gydyta.
Danties išsaugoti nepavyko, todėl buvo nuspręsta dantį šalinti ir to paties vizito metu – implantuoti danties implantą.
Implantui prigijus – dantis atkurtas cirkonio keramikos vainikėliu, kuris visiškai nesiskiria nuo natūralių dantų.
Danties implantaciją ir protezavimą ant implanto atliko:
Gyd.Odontologas – burnos chirurgas Laimonas Ketvirtis
