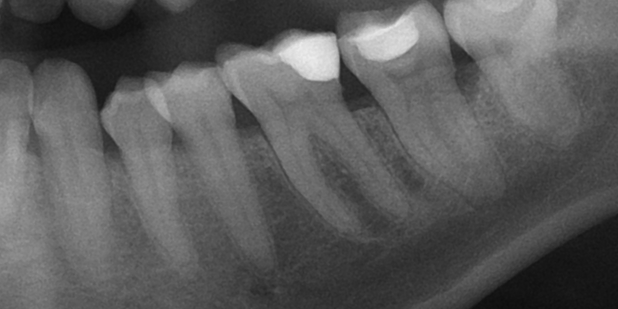
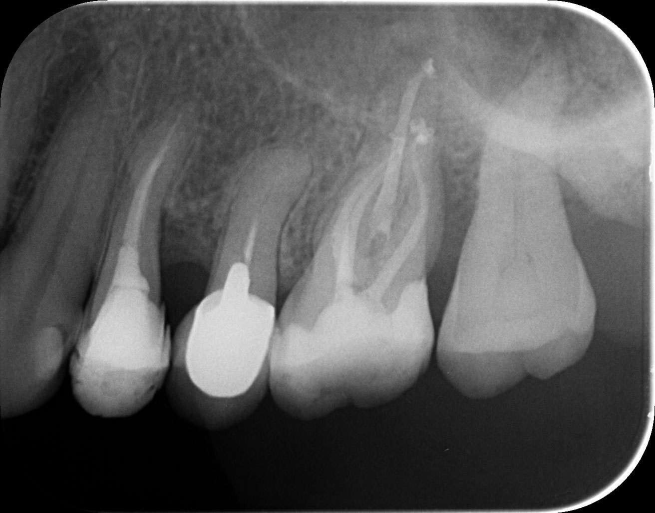
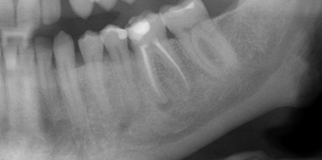
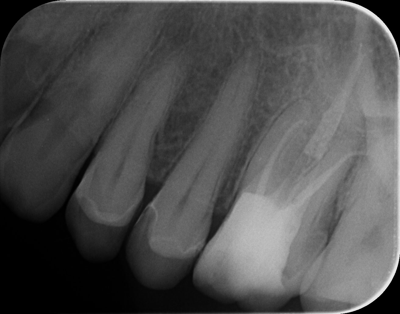
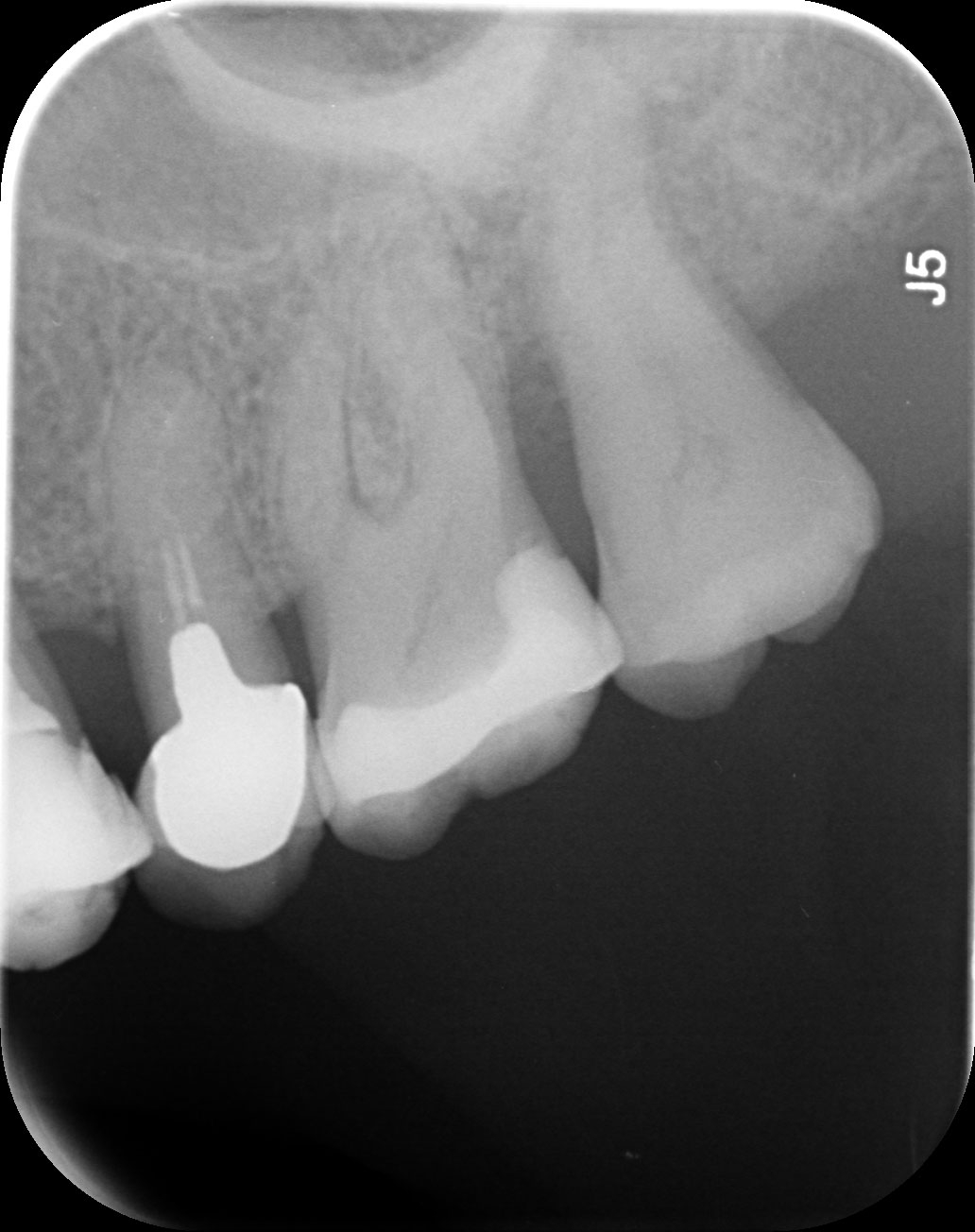
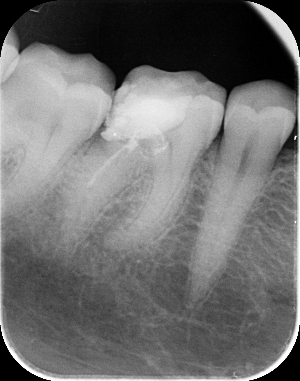
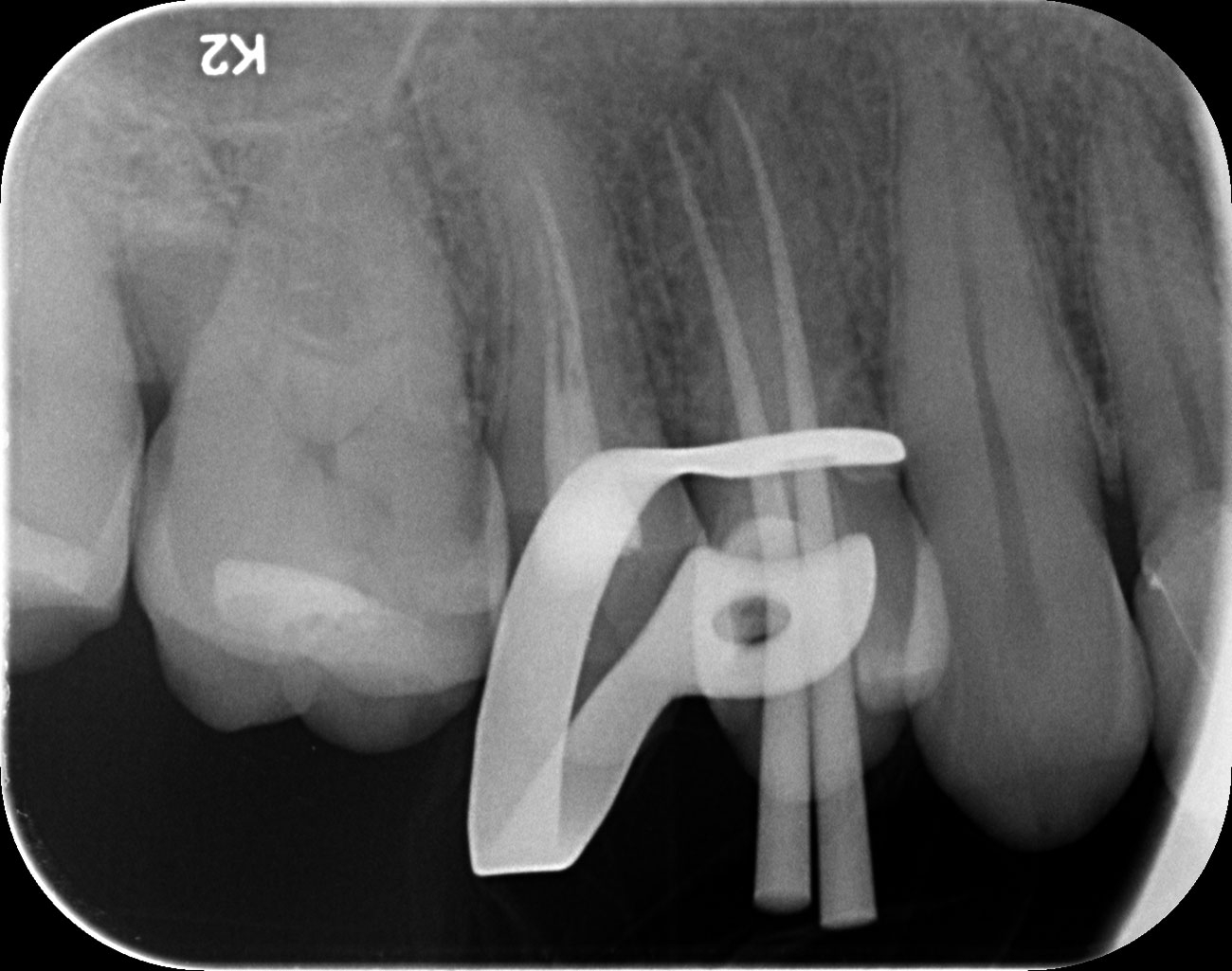
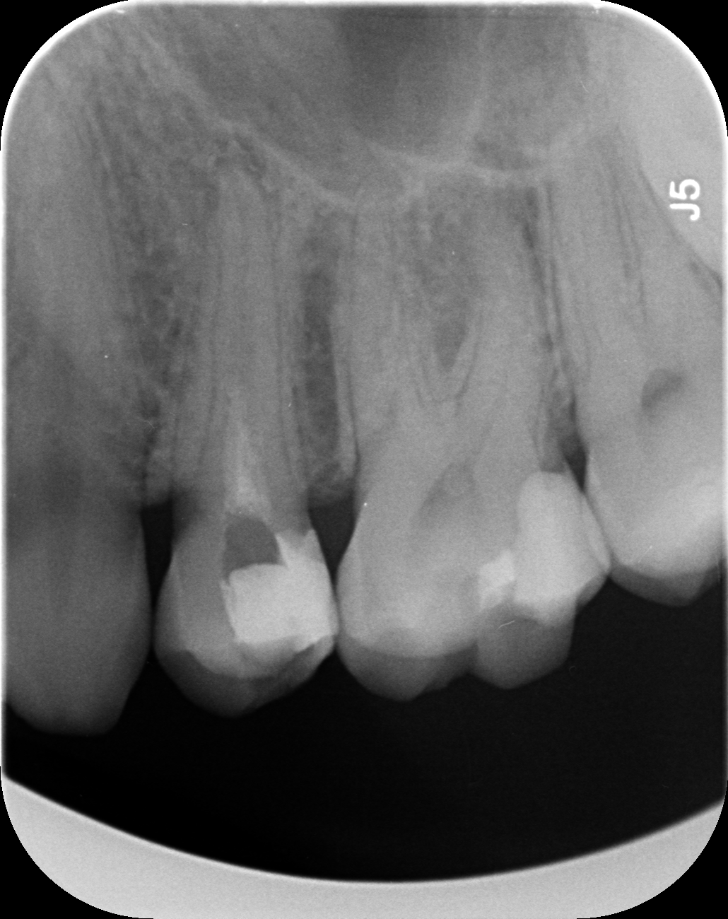
Dantų kanalų gydymas